Fostul gimnast maghiar Szilveszter Csollany, dublu medaliat olimpic, a murit luni, la vârsta de 51 de ani.
Citește mai multreacții adverse
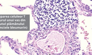
Dovezi tulburătoare ale unor decese provocate de vaccinurile Covid-19
Un studiu recent publicat de doi doctori germani, Dr. Sucharit Bhaldi și Dr. Arne Burkhardt, prezintă autopsia realizată la 15 persoane decedate în urma administrării vaccinurilor COVID.
Citește mai multFostul președinte polonez, Lech Walesa, leaureat Nobel, vaccinat cu 3 doze, are Covid-19
Lech Walesa, simbol al luptei împotriva regimului comunist în Polonia în anii ’80, a anunţat vineri că a fost depistat cu COVID-19, relatează AFP.
Citește mai multCâteva dintre victimele reacțiilor adverse ale vaccinurilor experimentale Covid-19. Dumnezeu să-i odihnească în pace! (Video)
Câteva dintre victimele reacțiilor adverse ale vaccinurilor experimentale Covid-19.
Citește mai multMărturia unui tânăr perfect sănătos din România după ce s-a vaccinat experimental Covid-19 (Video)
Mărturia unui tânăr perfect sănătos din România după ce s-a vaccinat experimental Covid-19 (Video)
Citește mai multAdolescent decedat la un centru de vaccinare experimentală Covid-19 din București (Video)
Adolescent decedat la un centru de vaccinare experimentală Covid-19 din București (Video)
Citește mai multS-au vaccinat masiv și mor pe capete: Marea Britanie stabilește un nou record al deceselor cauzate de COVID-19
Marea Britanie anunță miercuri 534 de decese cauzate de COVID, cel mai mare număr din ultimul an, în ciuda unei rate de vaccinare de peste 80%.
Citește mai multAsistentă din Pitești, decedată după doza a treia de vaccin împotriva Covid-19 (Video)
Nicoleta Pantea, asistentă medicală din Pitești, triplu vaccinată, moare la câteva zile după doza „booster”.
Citește mai multFostul hocheist Valentin Gherebe, în vârstă de 43 de ani, fondatorul Anonymous, a fost găsit mort
Fondatorul brandului Anonymous, Valentin Gherebe, în vârstă de 43 de ani, fost component al naționalei de hochei, a fost găsit mort, într-o stare avansată de putrefacție, fără răni vizibile pe corp
Citește mai multPovestea tragică a tinerei model de 20 de ani, dublu vaccinată, care a dezvoltat miocardită și a fost supusă unei operații de amputare
Un fotomodel din Florida a ajuns la spital și se luptă pentru viața ei după ce a suferit un atac de cord la începutul acestei luni.
Citește mai mult









